-
Sales de citrato para la prevención y tratamiento de litiasis renales con contenido cálcico en adultos.

Cochrane en la práctica diaria. Dentro de la misión de Cochrane está la producción de revisiones sistemáticas para tomar mejores decisiones en salud. Con este objetivo en mente, se publica la siguiente sinopsis de una revisión Cochrane con un comentario crítico al final para hacer el puente entre la investigación y la práctica clínica diaria.…
-
¿Qué es la sensibilidad?

En ocasiones el personal médico utiliza terminología que puede resultar confusa para los pacientes. Un término habitual es la sensibilidad de una prueba, que es, la capacidad de detectar individuos enfermos. Generalmente buscamos una prueba diagnostica (ecografía, tomografía, análisis sanguíneos o de orina, resonancia magnética, o incluso la exploración física) sensible para orientarnos en el…
-
¿Existe asociación entre la vasectomía y el cáncer de próstata?

En la última década se ha generado la hipótesis de la relación entre la vasectomía y el desarrollo de cáncer de próstata, pero, existe una relación ente la vasectomía y el cáncer de próstata realmente? A finales de los 80 y principios de los 90 comenzaron a aparecer estudios que publicaban una probable relación entre…
-
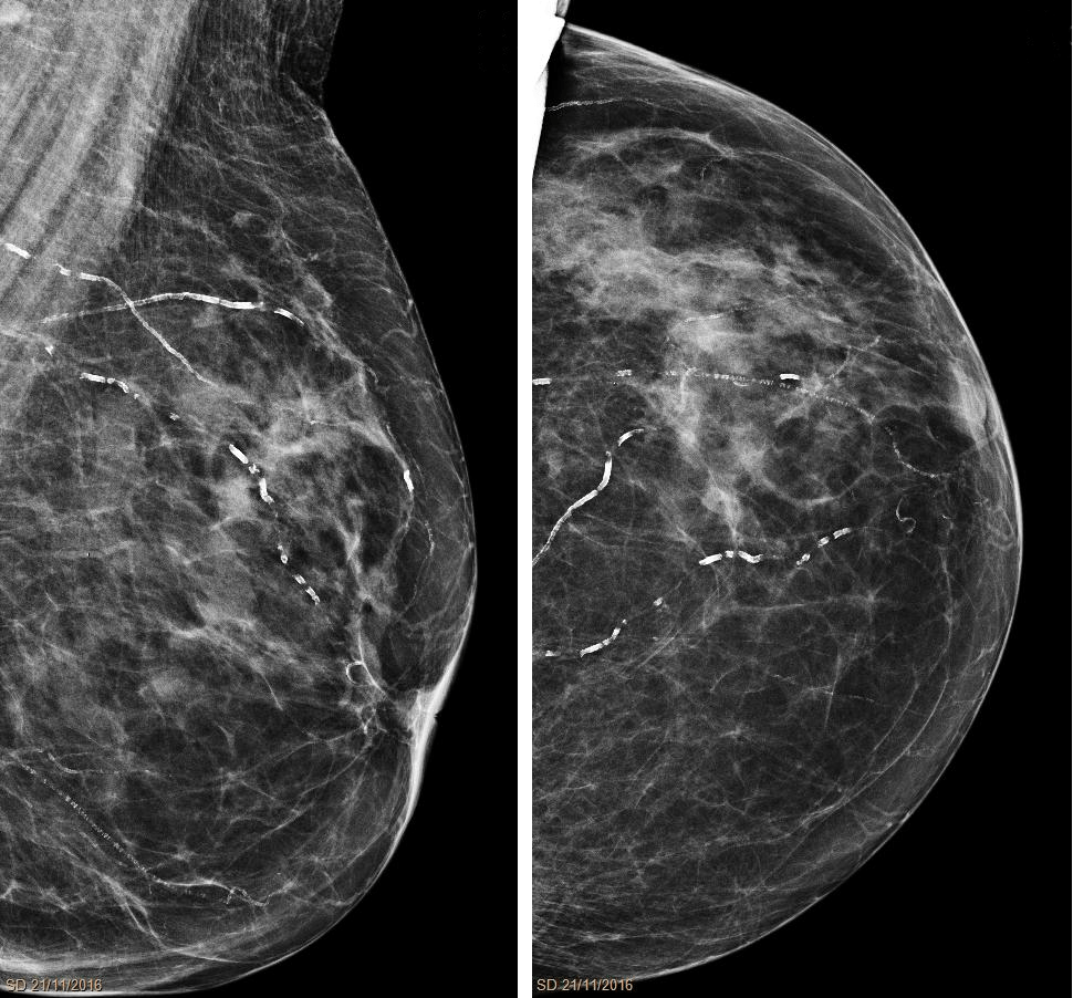
La verdad (desconocida) de las mamografías

Aunque no relacionado a la urología per se, el screening (tamizaje/cribado/detección) del cáncer de mama es un tema controvertido; evidencia relativamente reciente ha mostrado que el screening de cáncer de mama no salva tantas vidas como inicialmente creíamos (fenómeno que ocurre también con el cáncer de próstata, pero eso es un tema para otra ocasión).…
-
¿La hidratación intensiva ayuda en el tratamiento del cólico nefrítico?

Una duda que se plantea de manera frecuente es si el beber más agua (líquidos en general) favorece o estimula la expulsión de litiasis ureterales (cálculos, piedras ureterales) durante un cuadro de cólico renal (renoureteral, nefrítico). Además, también se ha planteado tanto la hidratación intravenosa con sueroterapia como el uso de diuréticos para estimular la…
